Нейродермит- это такой вид болезни, которая может выступить на любой части тела. Это может быть, как лицо, ладони, руки, ноги, так и голова, на которой данный недуг сопутствуется сильным зудом и покраснением. Данная патология может возникнуть в разном возрасте.
Шанс появления нейродермита у женщин во много раз больше, чем у мужчин. В этой статье мы по подробней разберем причины возникновения данного заболевания, симптомы и лечение у взрослых. На фото вы сможете увидеть, как выглядит эта болезнь.
Причины, по которым возникает нейродермит:
- Нейродермит является наследственной болезнью, которая может переходить из поколения в поколение;
- Частые перенапряжения, минорное настроение (депрессия), нервные срывы;
- Тяжелые физические нагрузки и умственное напряжение в течение долгого времени;
- Плохая работа пищеварительной системы;
- Недосыпания, плохое питание;
- Различные способы отравления организма;
- Лекарства;
- Слабая именная система;
- Различные болезни ЖКТ.
Запомните, что вы можете начать лечение, только после убеждения в том, что у вас именно нейродермит. Если у вас начали проявляться первые признаки данной патологии, то вам нужно срочно обратиться к врачу-дерматологу.
Внешние стрессоры, также могут стать поводом образования нейродермита, например, различные аллергические реакции на:
- Пух или шерсть различных животных;
- Лекарства;
- Продукты, которыми питаетесь;
- Перга цветков;
- Пылинки и др.
Причины нейродермита
Несмотря на многолетнее изучение проблемы нейродермита, в его этиологии и патогенезе до сих пор остается немало «белых пятен».
Может быть это и как аллергия на материал подушек или бытовую химию, так и на шерсть животных и пыльцу растений и тому подобное. У взрослых заболевание могут спровоцировать плохие условия для труда или же очень сильная стрессовая ситуация.
Причинами нейродермита может быть:
- предрасположенность к аллергическим реакциям отягощенная наследственностью;
- какие-либо нарушения в функциональной работе центральной нервной системы;
- стрессы, депрессивные состояния;
- умственное и физическое перенапряжение;
- неполноценное питание;
- болезни пищеварительной системы;
- снижение иммунитета;
- интоксикация организма;
- очаги разных хронических инфекций.
Толчком к началу и прогрессированию нейродермита могут послужить психогенные факторы, интоксикации, эндогенные и экзогенные раздражители, эндокринные нарушения, беременность, лактация и пр. Чаще всего встречается нейродермит на руках, лечить который стоит по назначению врача.
Симптомы и стадии болезни у детей и взрослых
Первый признак дерматологического заболевания – сильный зуд. Тело начинает чесаться задолго до появления высыпаний.
Дальнейшее развитие болезни:
- постепенно на различных участках тела проступают небольшие узелки с характерным блеском;
- в начальной стадии высыпания сходны с цветом кожи, через время становятся розовато-коричневыми;
- при отсутствии лечения высыпаний появляется больше, узелки разрастаются, сливаются, образуют очаг без чётких границ;
- поверхность покрыта мелкими чешуйками, корками;
- поражённая кожа с течением времени становится синюшного цвета, позже приобретает красноватый оттенок;
- участки, на которых ранее находились очаги, постепенно обесцвечиваются.
Основные места локализации:
- паховые складки;
- шея;
- подколенные сгибы;
- промежность;
- межъягодичная складка;
- мошонка;
- половые губы.
При диагностике необходимо дифференцировать нейродермит с другими кожными болезнями, имеющими сходные симптомы. Эти заболевания возникают по разным причинам. Необходимы дополнительные анализы для правильной постановки диагноза, назначения определённой терапии.
Воспалительное заболевание носит хронический характер, иногда полного излечения приходится ждать долгие месяцы. Группа риска:
- ослабленные дети;
- аллергики;
- малыши с неуравновешенной психикой.
В зависимости от возраста признаки кожного заболевания меняют характер. Особенность детского нейродерматоза:
- чаще всего появляется один очаг;
- изредка отмечены два или три поражённые зоны.
Неизменным остаётся самое неприятное проявление – сильный зуд. Позже развивается мокнутие. Часто дети не могут нормально спать, постоянно расчёсывают кожу. Удержать малышей от этого занятия сложно, тело покрывается ранками, язвочками.
Места локализации:
- на голове у грудничков;
- в области лучезапястного, голеностопного суставов;
- на шее;
- в подколенных, локтевых ямках;
- у подростков высыпания также появляются в области губ, глаз.
Лечат проявления у малышей и подростков более щадящими препаратами. Эффективны негалогенизированные кортикостероиды. Используются:
- Мометазон фуроат;
- Адвантан 0,1%;
- Гидрокортизона 17-бутират;
- Метилпреднизолон.
Обязательны:
- седативные препараты;
- антигистаминные средства.
Лечение нейродермита в домашних условиях у детей также не обходится без лекарственных трав. Натуральные средства отлично дополняют терапию медпрепаратами.
Уточните у дерматолога, подойдут ли вашему ребёнку эти составы. Большинство врачей рекомендуют ванночки, примочки, приём внутрь отваров лекарственных трав.
Проверенные рецепты:
- ванна с ромашкой, чередой, календулой. На 1 ст. л. сбора – 1 л кипятка. Длительность процедуры – 15 минут. Температура воды 37 градусов;
- отвар цветов бузины чёрной. Стакан кипятка – 2 ч. л. сырья. Давайте ребёнку настой 5 раз в день. Дозировка – по 2 ст. л.;
- настой листьев чёрной смородины. Заварите 3 ч. л. сырья 1 л крутого кипятка. Подождите 40 минут, процедите. За сутки нужно выпить 500 мл;
- настой череды. Измельчите сырьё, возьмите 1 ч. л., залейте 0,5 л горячей воды, вскипятите, пусть настоится. Через полчаса отвар готов. Дозировка – по столовой ложке трижды в день.
Основополагающим признаком, свидетельствующим о возникшей кожной проблеме, считается сыпь, непременным спутником которой является чрезвычайно сильный зуд. Процесс “расчёсывания” кожи, только усугубляет ситуацию, провоцируя зарождения на ней небольших по размеру пузырьков, которые заполнены жидким содержимым. Высохнув, они после себя оставляют корку.
К числу причин, которые могут послужить провоцирующим фактором для возникновения нейродермита относятся:
- всевозможные нарушения в функционировании центральной, вегетативной нервной системы
- проблемы с ЖКТ
- кардинальные сбои в обменных процессах, особенно белковом, углеводном
- расстройства эндокринного характера
После тяжёлых нервно-психических потрясений, активность проявлений нейродермита становится существенно выше. Кроме того, заболевание инфекционного плана, пищевое отравление организма, наконец, перенесённая операция, могут косвенно повлиять на возникновение на кожном покрове участков красной отёчности, мокнущих и сильно зудящих. Периодами обострения болезни считаются весна, осень.
Когда стадия заболевания перетекла в тяжёлую, то мелкая сыпь, сильно зудящая, начинает свою атаку на всех фронтах, активно проявляется практически на всех участках тела.
Участки проявления нейродермита — двери в наш организм, которые болезнетворные бактерии, с легкостью способны открыть.
Вот перечень признаков, наличие которых, свидетельствует о том, что инфекционный процесс внутри кожи набирает обороты и откладывать визит к врачу настоятельно не рекомендуется.
- Стремительное увеличение температурных показателей.
- Рвотные позывы, тошнота.
- Постоянные головные боли
- Часто возникающее чувство озноба.
При воздействии аллергена на организм, иммунитет вырабатывает защитные клетки (антитела) для борьбы с раздражителем. Они выбрасываются в кровь и распространяются по всем органам и тканям, воздействуя на мембраны на своем пути.
При острой форме протекания гистамин, содержащийся в антителах, провоцирует поражение отдельных участков красными пятнами, напоминающими красную волчанку.
Недомогание прогрессирует, появившиеся папулы набираются жидкостью. Фолликулы могут быть от 3 мм и больше. Плотно располагающиеся маленькие волдыри имеют свойство объединяться. Добавляется опухоль на пораженных местах. Везикулы начинают мокнуть, кровоточить, покрываться корками.
Распространенные признаки нейродермита:
- шелушение, сухость – кожа отслаивается мелкими или крупными пластинами;
- сыпь – незначительные возвышенности, имеют нечеткие границы;
- зуд – сильный, нестерпимый, особенно в ночное время;
- трещины из-за сухости, локализуются в уголках рта, век, на сгибах рук и ног, в ягодичных складках, на ладонях и пальцах;
- мокрые волдыри – в местах сильных расчесов или образовавшихся трещин;
- белый дермографизм.
Обязательно почитайте:
Предлагаем ознакомиться Отрубевидный лишай лечение в домашних условиях
Рецепты для лечения дерматита в домашних условиях с учетом конкретного вида заболевания
Расположение высыпаний может возникать на разных участках тела человека. У младенцев недуг размещается на шее, лице, во внутренних сгибах локтей и коленей, на голове. К 3-м годам самостоятельно проходит.
В 2-х летнем возрасте характер проявления высыпаний меняется. Сыпь проступает на локтях и в подколенных впадинах, на икрах и лучевой кости рук, на нежной коже шеи. У подростков – на кистях, губах, глазах, на коленях и локтях.
Взрослые страдают разрастанием сыпи на волосяных участках – голове, груди, подмышках и в паху. При поражении лица начинают выпадать реснички на бровях. Наблюдается чрезмерный отек тканей на глазах. На щеках проявляются алые пятна.
Таким образом, недуг в разном возрасте проявляет себя не ординарно. Симптомы чаще всего преобладающие – зуд, жжение, сухость кожи.
При отсутствии лечения зуд увеличивается. Сильное жжение провоцирует расчесывание проблемного участка. Это способствует заражению рядом расположенных здоровых тканей. В результате заболевание расползается на большие участки, увеличивая отечность.
Увеличение температуры тела, четко выраженный серый цвет лица, сухая шелушащаяся кожа, зуд по всему телу независимо здоровый это участок или пораженный – симптомы, свидетельствующие оприсоединении вторичной инфекции.
Во время болезни наблюдается:
- Усталость;
- Постоянная слабость во всех членах тела;
- Снижение артериального давления;
- Апатия ко всему вокруг;
- Понижение сахара в крови.
Недомогание может привести к воспалениям лимфатических узлов, а также к возможным осложнениям – пиодермии, вирусным болезням, грибковым поражениям кожных покровов.
Для того чтобы избежать негативных последствий необходимо при появлении любого признака обратиться к специалисту за консультацией. Врач в свою очередь или развеет опасения, или начнет процесс лечения.
Классификация
Различают 7 основных видов нейродермита, симптомы у каждой формы несколько индивидуальны.
- Ограниченный – возникает на незначительных участках кожи. При этом кожные проявления имеют вид бляшек, состоящих из мелких папул. Сама кожа становится сухой, огрубевшей, и как будто присыпанной мукой.
- Диффузный – характеризуется высыпаниями в большом количестве и способностью возникнуть в любом возрасте. Для воспалений характерны симметричные участки кожи, располагающиеся на шее, лице, коленных и локтевых сгибах, внутренней поверхности бедер, груди. Пораженные участки наделены сероватым оттенком, расчесывание приводит к возникновению корочек и образованию плотных узелковых образований.
- Гипертрофический – характеризуется проявлением опухолей в паховой зоне.
- Линейный – отмечается зудящими полосками на сгибах конечностей.
- Псориазиформный – выделяется располагающимися на голове и шее уплотненными покрасневшими очагами, покрытыми измельченными чешуйками.
- Фолликулярный – характеризуется остроконечными папулами на волосистой части головы.
- Декальвирующий – проявляется на волосяных частях тела с последующим облысением.
Формы и виды заболевания
Классифицировать нейродермит у взрослых можно по нескольким признакам.
По локализации расположения:
- гипертрофический – располагается в паховой области;
- линейный – находится в локтевых и коленных сгибах;
- псориазоформный – локализуется в области головы и шеи;
- фолликулярный – располагается в зоне роста волос, провоцируя их выпадение.
По половому и возрастному признаку:
- диффузный – наиболее часто встречается у детей как результат пищевой аллергии;
- очаговый – с этим типом нейродермита традиционно сталкиваются мужчины.
Отдельно стоит отметить атопический дерматит, который, с одной стороны, является формой данного заболевания, но, с другой стороны, стоит обособленно. Если для остальных типов нейродермита генетический фактор не играет никакой роли, то в случае с атопическим дерматитом на наследственность имеет самое актуальное значение.
Атопический дерматит, в свою очередь, подразделяется еще на три категории, в зависимости от возраста:
- от 2 месяцев до 2 лет;
- от 2 лет до 12 лет;
- от 12 лет и старше.
В каждом возрасте атопический дерматит развивается иначе, имеет отдельные признаки и разную интенсивность течения.
| Атопический дерматит является формой нейродермита |
|
|
Это интересно! С атопическим дерматитом чаще всего сталкиваются женщины: статистика утверждает, что заболевших женщин в мире вдвое больше, нежели мужчин.
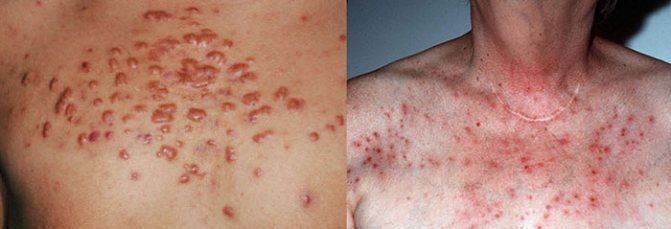
Симптомы нейродермита
В случае нейродермита, первым симптомом является появление сыпи и сильного зуда в области шеи. Затем она распространяется на лоб, щеки, глазные веки и область рта. Следующими местами локализации сыпи и кожного зуда становятся область половых органов и ягодиц, локтевых и коленных сгибов.
Кожа на пораженных заболеванием участках приобретает красный оттенок и постепенно начинает шелушиться. В запущенных случаях заболевания на коже появляются крохотные пузырьки, оставляющие после себя тонкую засохшую корочку кожи.
Порой зуд от нейродермита бывает настолько сильным, что человек не может себя контролировать и расчесывает все воспаленные участки кожи, которые, как правило, начинают мокнуть, но быстро высыхают. Нейродермит на руках доставляет массу неприятностей по причине влаги, а также механических воздействий, что приводит к усугублению заболевания.
Симптомы нейродермита заметнее проявляются в зимний период, а также вечернее время, к лету же происходит облегчение симптоматики.
Данный недуг оказывает отрицательное воздействие на функцию надпочечников больного, поэтому его кожа может слегка потемнеть. Постоянными спутниками нейродермита являются усталость, апатия к окружающему миру, слабость, понижение давления и снижение уровня глюкозы в крови. Нейродермит может стать причиной воспаления лимфатических узлов и ряда других заболеваний.
На руках
Главный симптом нейродермита на руках все тот же — сильный зуд, сопровождающийся сухостью кожи на руках и проявлением рисунка ладоней в более выраженном виде, что отчетливо видно на фото, пораженных нейродермитом рук. Довольно часто нейродермит поражает зону локтевых суставов и область сгибания предплечий. Во время проведения гигиенических процедур по мытью пораженных заболеванием зон, чувствуется боль и дискомфорт, а использование средств, таких как гели, мыло для душа или крема и лосьоны, приводит к усугублению проблемы.
Также, как и на лице, нейродерматит на руках может образовывать узелковые элементы, шелушение кожи и чешуйки отмирающего эпителия, которые со временем становятся корочками и начинают мокнуть. Позже такие образования отпадают и на месте бывших корочек образуются раны, которые кровоточат, зудят и пролонгируют процесс заболевания.
Большое количество случаев нейродермита на руках перетекает в хроническую форму и может систематически обостряться.
Разновидности препаратов
Для увлажнения эпителиальной ткани пациентам выписывают:
- Бепантен. Лекарство увлажняет кожу, ускоряет восстановление поврежденного эпителия.
- Локобейз Рипеа. Крем устраняет сухость, способствует регенерации тканей при экземе и атопическом дерматите.
- А-дерма экзомега. Препарат с увлажняющим действием питает и смягчает сухой и шелушащийся эпителий.
Для лечения нейродермита на руках и других частях тела используют:
- Радевит. Средство увлажняет и смягчает эпителий, препятствуют ороговению кожи.
- Камагель. Защищает кожные покровы от внешних раздражителей, не позволяет развиваться воспалительным процессам.
- Линин. Лекарство с рассасывающим, противозудным и противовоспалительным эффектом. Средство используют для лечения нейродермита, экземы и дерматита.
Легкие формы нейродермита лечат наружными препаратами без гормонов. Поврежденную кожу на ногах и прочих частях тела обрабатывают:
- Гистаном – лекарством, содержащим силикон, бетулин и экстракты трав. Крем с антисептическим действием снимает зуд, раздражение, аллергическую реакцию, воспаление. Не путать с кортикостероидным средством Гистан-Н!
- Нафтадермом – негормональной мазью на основе рафинированной нефти. Препарат размягчает кожу, рассасывает ороговевшие участки, подавляет зуд и воспаление, активизирует регенерацию эпителия.
- Деситином – препаратом с оксидом цинка и рыбьим жиром. Средство обеспечивает гидратацию эпителиальных тканей, налаживает обменные процессы, питание кожных клеток. Препарат обладает антисептическим, подсушивающим, противовоспалительным, вяжущим действием.
- Скин-капом – кремом на основе пиритионата цинка. Лекарство оказывает антисептическое воздействие. Подавляет развитие грибков и бактерий. Крем используют для лечения псориаза, нейродермита, дерматитов, кожного зуда. Лекарством обрабатывают очаги поражения на голове, руках, ногах, туловище.
- Видестимом – мазью с витамином A. Препарат сдерживает ороговение эпителия, подавляет гиперкератоз, ускоряет регенерацию кожных покровов.
- Эпланом – эффективное антисептическое средство. Защищает кожные покровы, подавляет воспаление, смягчает эпителий, обезболивает. Препарат быстро затягивает раны, восстанавливает эпителиальные клетки.
- Борной мазью. Средство снимает воспаление, смягчает кожу, не позволяет развиваться бактериальным, грибковым и паразитарным инфекциям.
- Ацетилсалициловой мазью. Препарат смягчает и отшелушивает ороговевшую кожу, ускоряет регенерацию эпителия, заживляет повреждения.
Препараты с мочевиной увлажняют и смягчают эпителий, устраняют ороговевшие частицы, подавляют воспаление, поддерживают pH кожи в норме.
Тяжелые формы нейродермита помогают лечить кортикостероиды. Хотя наружные средства с гормонами дают множество нежелательных побочных реакций, их используют для подавления серьезных кожных патологий.
При отказе от гормональных препаратов течение нейродермита усугубляется. На его фоне развиваются тяжелые трудноизлечимые осложнения:
- гиперпигментация,
- акне,
- стрии,
- атрофия эпителия.
Осложнения возникают на лице, шее, в складках кожи.
Для лечения используют мази и кремы от нейродермита, воздействующие с разной силой на очаги поражения. Существует 7 классов кортикостероидов.
К сверхактивным мазям 1 класса относятся:
- крем Дермовейт,
- мазь Psorcon.
В список высокоактивных препаратов 2 класса на основе гормонов попали:
- Циклокорт,
- Дипролен,
- Акридерм ГК,
- мазь Дезоксиметазон,
- Флуоцинонид – крем и мазь,
- крем Хальцидерм.
К 3 классу отнесены высокоактивные местные средства:
- Акридерм,
- Белодерм,
- Целестодерм-В,
- Аристокорт.
В список 4 класса включены топические кремы и мази для лечения нейродермита с умеренной активностью:
- Топикорт,
- Кремген,
- Кеналог.
В перечень 5 класса попали:
- Белодерм,
- Бетновейт,
- Синалар,
- Локоид,
- Весткорт.
Последний 7 класс гормональных наружных препаратов представляют малоактивные мази и кремы:
- дексаметазон фосфат натрия,
- метилпреднизолон ацетат крем,
- Гидрокортизон.
В Европе кортикостероиды классифицируют несколько иначе. Там препараты разделены на 4 категории. Первую группу медикаментов представляют слабые глюкокортикостероиды, последнюю – сильнодействующие лекарства. Но при этом не берется во внимание, что мази с одинаковой концентрацией активных компонентов оказываются мощнее кремов и спреев.
Важные аспекты:
- Врач, выписывая кортикостероидные медикаменты, учитывает месторасположение очагов поражения, возрастные и индивидуальные особенности больного, тяжесть течения нейродермита, активность лекарства.
- При нейродермите на лице у ребенка используют малоактивные кортикостероиды. Взрослым с очагами поражения на коже лица выписывают сильнодействующие средства: Акридерм или Белодерм.
- Топические кортикостероиды применяют по возрастанию. Вначале используют слабые стероиды. Если они не обладают нужной эффективностью, применяют более мощные средства.
Медикаменты с гормонами используют в сочетании с увлажняющими кремами. Сначала очаги поражения смазывают косметическим средством, а через 20 минут обрабатывают их стероидной мазью.
Препараты с ингибиторами кальциневрина купируют воспаление на кожных покровах. Эти лекарственные средства замедляют выработку Т-лимфоцитов. Мази и кремы эффективно борются с тяжелыми формами нейродермита. Подобные лекарства относят ко второй очереди лечения болезней кожи.
Медикаменты с ингибиторами кальциневрина не дают побочных эффектов. Этими мазями разрешено обрабатывать зоны с гиперчувствительной кожей: лицо, паховую область, половые органы. Но механизм действия препаратов пока не изучен до конца.
Выбирая лекарство, врач соотносит пользу и риск от применения препарата. Для лечения легкого нейродермита используют негормональные регенерирующие наружные средства с противовоспалительным действием. Если положительной динамики не наблюдается, применяют сильнодействующие препараты.
Народные средства устраняют внешние признаки болезни: подавляют зуд, воспаление, шелушение. Домашние мази увлажняют и смягчают кожу, затягивают ранки, ускоряют регенерацию эпителиальных клеток.
В домашних условиях готовят мази по следующим рецептам:
- Берут по 50 г ланолина и вазелина, ставят на водяную баню. Добавляют в смесь стружку из прополиса (20 г), перемешивают средство до однородности. Остывшую мазь наносят на больное место 3 раза в сутки. Средство смягчает и обеззараживает кожу, ускоряет регенерацию эпителия.
- Мазь с дегтем и воском. Берут по 25 г березового дегтя, воска и гусиного жира. Компоненты складывают в емкость из глины, ставят на раскаленные кирпичи, томят 4 часа. Средство должно тихонько кипеть. Готовую мазь остужают, наносят на поврежденную кожу 3 раза в день.
- Мазь из топленого сала и алоэ – эффективный народный способ лечения нейродермита. Смешивают 1 стакан подогретого сала с 20 г кашицы из листиков алоэ и 3 каплями масла пихты. Остывшее средство наносят на места поражения 3 раза в день.
Народные средства усиливают действие медикаментов, увеличивают периоды между обострениями заболевания. Для получения положительного лечебного эффекта надо соблюдать рекомендации врача, правильно использовать препараты, назначенные им.
Средство терапии может быть правильно подобрано только в том случае, когда правильно диагностирована разновидность нейродермита.
Дерматологи классифицируют его на две основных формы, характеризующие распространенность патологии:
- Ограниченная. При такой форме нейродермита поражение кожного покрова затрагивает лишь один участок кожи, обладает четкими границами. При этом заболевание выражается появлением папул, способных сливаться друг с другом и образовывать бляшки.
- Диффузная. При такой форме нейродермита поражению подвергаются несколько участков кожных покровов, граница между здоровой и пораженной кожей – четкая, могут наблюдаться лихенизация (утолщение) и множество расчесов.
Диагностика
Лабораторных, инструментальных и функциональных методов диагностики и не существует, поэтому врач ставит диагноз, основываясь на визуальном осмотре пациента.
В некоторых случаях врач предлагает для уточнения диагноза сдать пациенту клинический анализ крови и кровь на иммуноглобулины. Если результаты покажут, что в крови повышено количество эозинофилов и IgE, то диагноз нейродермит можно считать доказанным. Существует еще метод биопсии, когда фрагмент кожи рассматривается под микроскопом для обнаружения картины, характерной для нейродермита, но на практике к такому методу прибегают крайне редко.
При проведении диагностики очень важно провести дифференциальную диагностику, чтобы не спутать патологию с другими кожными заболеваниями:
- себореей;
- лишаем;
- чесоткой;
- экземой.
В большинстве случаев верный диагноз ставится при первом же посещении дерматолога.
Диагностика нейродермита у взрослых, код МКБ
Диагноз нейродермита поставит врач дерматолог, для это ему нужен осмотр поражений на коже, опрос пациента о симптомах болезни. Как правило, особых трудностей с диагнозом не возникает в типичных случаях заболевания.
В сложных, сочетанных с другими атипическими заболеваниями случаях дерматолог определяет сосудистую кожную реакцию (дермографизм), назначает общий анализ крови, кала, крови на биохимию, иммунограмму, кожные аллергопробы, иногда требуется взять соскоб с пораженных мест на коже.
При серьезных нервных расстройствах может понадобиться консультация невролога, психиатра.
Код по МКБ-10 Нейродермита — L20.8.
Лечение нейродермита
Медикаментозное лечение нейродермита проводится противоаллергическими (кларитин, супрастин, зиртек и др.) и успокоительными препаратами (настойка пустырника, валерианы, новопассит).
Для облегчения зуда врач посоветует применять мази, содержащие гормоны, например, гидрокортизоновую мазь. Такие мази можно использовать достаточно долго.
Если вы хотите достичь успеха, и действительно вылечить нейродермит на руках или других частях тела, одного медикаментозного лечения может оказаться недостаточно. Важно соблюдать следующие правила:
- Соблюдать режим дня: ограничить физические и умственные нагрузки, хорошо высыпаться и правильно питаться.
- Полноценно отдыхать. Полезен отдых на морском курорте.
- Закаляться и принимать комплекс витаминов и минералов, подобранный врачом. Эти меры помогут укрепить иммунитет, а также снизить симптомы нейродермита.
- Избегать стрессовых состояний.
- Относиться к жизни с оптимизмом.
Если все предыдущие методы не помогают и ваше состояние только ухудшается, врач при нейродермите может назначить лечение гормональными препаратами для приема внутрь и физиотерапевтические процедуры. Не забывайте, что лечить нейродермит можно и народными средствами, используют: отварах трав для успокоения зуда (ромашки, зверобоя), мазях и кремах. Перед применением таких средств обязательно проконсультируйтесь с лечащим врачом.
Нейродермит не является опасным заболеванием, но может вызывать развитие кожных инфекций, распространению которых способствует постоянное расчесывание.
Как лечить нейродермит народными средствами
Народная медицина имеет большой, вековой опыт лечения нейродермита. С разрешения лечащего врача, можно использовать самостоятельно приготовленные, натуральные мази, которые втирают в поврежденную кожу, а также использовать прочие методы:
- При большом поражении кожи принимают ванны с добавлением настоек из ромашки, череды и коры дуба.
- Чтобы увлажнить сухую кожу, ее смазывают маслами или жирами.
- Готовят специальные компрессы, которые прикладывают к пораженным участкам кожи. В качестве ингредиентов используют ромашку, календулу, софору, крапиву, мяту. Подобными компрессами надо пользоваться до полного излечения, иначе болезнь может вернуться.
- Помимо этого, при нейродермите используют мази с прополисом, лопухом, подорожником.
- Нередко лекарственные настойки из ромашки, мяты, мать-и-мачехи, календулы употребляют в качестве чаев, желательно натощак, чтобы не только ликвидировать воспаление, но и укрепить организм.
Кроме этого, чтобы эффективно лечить нейродермит в домашних условиях необходима диета с ограничением острых и копченых продуктов, соли, спиртных напитков.
Профилактика
Профилактика нейродермита выглядит так же, как и профилактика любого заболевания. Правильное сбалансированное питание, умеренные физические нагрузки, закаливание и повышение иммунитета, избегание стрессов. Дерматологи советуют людям, склонным к дерматологическим заболеваниям, носить одежду из натуральных материалов, не раздражающих кожу, чтобы не спровоцировать развитие болезни.
Также не стоит подвергать кожу в период ремиссий и обострений любым раздражителям, например, делая пилинги, скрабы, используя кремы с маркировкой «для похудения», в состав которых входят раздражающие кожу вещества – перец, корица, ментол. И, наконец, чувствительную кожу важно оберегать от высоких и низких температур.
Питание и соблюдение диеты
В процессе лечения кожной патологии важно придерживаться правил питания. Диета при нейродермите у взрослых базируется на порционном питании без переедания.
| Можно кушать | Следует ограничить |
|
|
В рационе обязательно должны присутствовать свежие овощи с большим количеством клетчатки. Потребление мяса и рыбы необходимо ограничить. Кушать мясо рекомендуется в отварном виде с добавлением зелени – она облегчает усвоение блюд.
Лечение в домашних условиях
Можно ли вылечить нейродермит навсегда? Это очень важный вопрос для людей, которые страдают от кожных заболеваний. Природные ресурсы помогают во многом облегчить состояние пациента до ремиссии, ликвидировать проявления и способствуют ускоренной регенерации. Немногие знают, что пчелиный воск от нейродермита – это достаточно действенное средство. Избавиться от нейродермита раз и навсегда можно при помощи следующих рецептов народной медицины:
- Лечить нейродермит на теле лучше при помощи пчелиного воска, птичьего жира и нескольких капель березового дегтя. Изготавливать такую мазь нужно в глиняном горшке, кипятить четыре часа. Наносить несколько дней в день на кожу.
- Избавиться от нейродермита можно благодаря растительной мази. Для ее приготовления понадобится следующий набор: птичий жир, календула, ландыш, валериана и эвкалипт. Все ингредиенты нужно измельчить и перемешать, по несколько столовых ложек смешивать с птичьим жиром и наносить на пораженную кожу.
Вылечить нейродермит навсегда, возможно, и нельзя, однако в значительной степени улучшить состояние пациента вполне возможно. И для этого необходимо отдавать предпочтение только лучшим средствам от нейродермита, а также проверенным медикаментозным препаратам.
Лечение нейродермита сопровождается выполнением некоторых правил. В первую очередь следует соблюдать диету, принимать внутрь необходимые лекарства. Обязательно использовать наружное воздействие в виде кремов и мазей. Последним этапом идет реабилитация.
Терапия заболевания, как у детей, так и у взрослых практически одинаковая:
- препараты, стабилизирующие мембраны пораженных клеток (Ципрогептадин);
- антигистаминные средства (Супрастин, Зиртек, Кларетин, Цетиризин, Коротадин);
- успокоительные медикаменты, стабилизирующие работу нервных окончаний;
- лекарства для нормализации работы желудочно-кишечного тракта;
- витамины группы А, В, Е и иммуномодуляторы;
- антибиотики, убивающие вредоносные бактерии;
- системные кортикостероиды (Элоном, Афлодерм, Адвантан).
Кроме стандартных противоаллергических средств, специалист может настоять на введении Тиосульфата Натрия или Глюконата кальция. Препараты вводятся внутривенно.
Предлагаем ознакомиться Избавиться от брылей в домашних условиях
| Процесс | Препарат | Эффект воздействия |
| Выделение жидкости из папул | Фторокорт | Уменьшает жжение. Для обширных участков не требуется большого количества мази – смазывать необходимо тонким слоем. На его основе можно делать увлажняющие повязки не более 2-3 раз в сутки. Применять 1 месяц. |
| Тяжелая стадия | Дермовейт, Синафлак, Гидрокортизоновая мазь, Целестодерм В | Системные гормоны легкого характера – снимают воспаления, уменьшают зуд и трещины кожи, блокируют расползание на большую территорию. |
| При вторичной инфекции | Оксидорт, Кортикомицин, Гиоксизон, Оксикорт | Антибактериальные мази – тормозят увеличение численности вредоносной бактерии, пресекают развитие грибкового заражения. |
| Для снятия эффекта шелушения | Предникарб | Уменьшает сухость кожных покровов, препятствует отмиранию, уменьшает выделение секреций из папул. |
В лечение также входит соблюдение определенной диеты. Для взрослых необходимо дробное питание без переедания.
Следует ввести в свой рацион свежие овощи, фрукты, рис, кисломолочную продукцию, нежирную рыбу и мясо, тушеные овощи и мясо на пару.
Запрещено к употреблению: сладости, продукты быстрого приготовления, полуфабрикаты, яйца, сыр, цитрусовые, консервы, жирная еда, кофе, горячительные напитки.
Обязательно почитайте:
Дисгидротическая экзема кистей рук: лечение в домашних условиях
Кроме медицинских лекарств можно использовать воздействие физиотерапии. Процедуры выполняются с использованием кварцевых ламп, светолечением, а также селективной терапией.
Хороший эффект имеет массаж жидким азотом в крио-ваннах, а также обработка воспаленных участков медицинским лазером.
Народные методы лечения возможно, но только после консультации с врачом. Для наружной обработки положительно сказывается использование следующих методов воздействия.
- вазелин соединяется с прополисом в пропорции 1:10, растираются проблемные участки;
- на основе натурального жира. Полкилограмма свиного сала растапливается на горячей поверхности. Сливают, добавляя четверть килограмма очищенной серы. Перед нанесением пораженное место смазывается детским кремом.
Ванны:
- смесь картофельного крахмала, внутренних стенок грецкого ореха, с добавлением мелконашинкованных березовых листьев. Все вместе прокипятить 15 минут, затем разбавить в воде, 20 минут;
- фитосбор из коры дуба, ягод рябины, хвоща полевого. Соединить в один стакан, разделить пополам. На половину добавить 3 л. Варить 15 минут.
Компресс: кора дуба, кориандр, листья березы, мята – настаивать сутки, смочив салфетку, прикладывать.
Следует не только слушать и выполнять рекомендации дерматолога, но и думать о хорошем, настраиваться на позитивный исход болезни.








